水,是生命之源
但是如果直接喝井水、河水
或是水龙头上刚接的水
十分危险
一个不小心就会脑里长虫!
近日,广东肇庆一名女孩突然两度全身抽搐,失去意识。一查原因,竟然是喜欢攻击大脑的寄生虫裂头蚴在大脑内部乱钻洞,诱发异常放电,进而出现癫痫症状。随后,神经外科医生通过开颅手术,成功为其取出一条长约11厘米的活虫。
突然癫痫发作,两次症状不同
彤彤(化名)是肇庆某职校的一名学生,第一次癫痫发作时,她正和同学在宿舍吃午饭,突然四肢抽搐、意识不清,过了几分钟才恢复正常。
“清醒过来时,我正被几个同学扶着在去校医室的路上,我还觉得莫名其妙,完全不知道发生了什么。”听同学描述起发病情形时,彤彤也吓了一跳:“以前从没出现过,我还经常运动。”
彤彤在当地医院检查左侧额顶叶脑软化灶形成,被诊断为癫痫,开始服药治疗。几个月后,彤彤再次出现癫痫发作。为寻求进一步诊疗,在家人陪同下去了当地脑科医院癫痫中心。
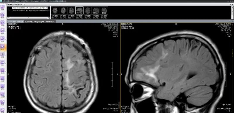
经过系列相关检查,发现彤彤左侧额叶存在多发病变,且两次发作症状不尽相同,怀疑是寄生虫感染。进一步检查结果提示:裂头蚴IgG抗体阳性;视频脑电图显示:左侧额顶叶多发放电。
多发脑软化灶实为虫体在颅内爬行产生的损伤,患者癫痫发作的根源在于寄生虫对大脑的炎性刺激,造成大脑异常放电。

脑软化灶实为虫体在颅内的爬行轨迹;(左)从下往上移动,(右)从后往前移动
神外医生手术抓取11厘米长活虫
通过间隔2周的观察,医生团队最终精准定位到寄生虫位于患者左侧额叶前部,并在三维脑上描记了虫体位置。随后,医生团队为患者实施寄生虫抓取及肉芽肿切除术,顺利“活捉”一条长约11厘米的裂头蚴,连同“虫窝”也一并切除了。
虫子是如何进入到彤彤脑子里的呢?医生们怀疑可能与其幼时多次饮用生水有关。
据彤彤回忆,她自幼生活在农村,小时候不懂事,渴了就直接喝井水、生水。
脑裂头蚴病就多见于饮用未煮开的井水、山泉水,食用半生不熟的蛙、蛇或猪肉,以及局部敷贴生蛙肉、蛇皮等人群。
感染裂头蚴后,患者可出现肢体抽搐、麻木、无力、阵发性头痛,严重时昏迷或伴喷射状呕吐等。一旦明确诊断,主要依靠手术抓取活虫。
因此也提醒市民朋友,日常生活中不可进食生水、生蛙、生蛇肉,勿用蛙肉和蛇皮敷伤口,切生、熟肉的刀及菜板要分开。
目前,彤彤已经康复,将于近日出院。


从患者颅内抓取的11cm长活虫
在饮食方面如何预防寄生虫感染?
1、 管住自己的嘴,不要生吃蛇类和蛙类食物。
2、彻底杀灭裂头蚴需要诸多的条件,我们在处理食物时,千万不要寄希望于任何调料。
这些东西不要生吃









在日常生活中
还有哪些东西不适合生吃?
成都西南脑科医院预约挂号平台
· 为了获取会员信息,展示头像昵称,开发者将在获取你的明示同意后,收集你的微信昵称、头像。
· 为了获取地理位置,展示位置/辅助快速选择,开发者将在获取你的明示同意后,收集你的位置信息。·
为了获取手机号,商家收集线索,开发者将在获取你的明示同意后,收集你的手机号。
· 为了海报及图片保存/下载,用户分享海报,开发者将在获取你的明示同意后,使用你的相册(仅写入)权限。· 为了获取用户的微信运动数据,用于步数星球项目的步数相关功能的使用,开发者将在获取你的明示同意后,收集你的微信运动步数。
· 为了用于语音红包项目,录入用户语音功能使用,开发者将在获取你的明示同意后,访问你的麦克风。·
为了脸战项目使用,用于拍摄用户头像并上传到系统进行评分,开发者将在获取你的明示同意后,访问你的摄像头。
· 开发者收集你的地址,用于获取微信地址辅助快速填写表单。
· 开发者收集你选中的照片或视频信息,用于上传图片/视频,商家收集线索。
· 开发者收集你的设备信息,用于分析处理相关系统稳定性和兼容性问题。
· 开发者收集你选中的文件,用于上传文件,商家收集线索。
·成都西南脑科医院门诊小程序由上海微盟企业有限公司代为开发,开发者保证,上海微盟企业有限公司将在本指引规定范围内处理你的个人信息。
关于你的个人信息,你可以通过以下方式与开发者联系,行使查阅、复制、更正、删除等法定权利。
-邮箱∶W-Feedback@outlook.com
开发者承诺,除法律法规另有规定外,开发者对你的信息的保存期限应当为实现处理目的所必要的最短时间。
5.1开发者将会在本指引所明示的用途内使用收集的信息
5.2 如开发者使用你的信息超出本指引目的或合理范围,开发者必须在变更使用目的或范围前,再次以小程序浮窗方式告知并征得你的明示同意。
成都西南脑科医院或其关联公司在必要时有权根据注册时或接受服务时所提供的联系信息(包括但不限于电子邮件地址、联系电话等),通过电子邮件.电话.短信.即时聊天.弹出页面等方式向用户发送如下信息∶
(1)各类重要通知,可能包括但不限于订单、交易单、修改密码提示等重要信息。此类信息可能对用户的权力义务产生重大的有利或不利影响, 用户务必及时关注
(2)商品和服务广告,促销优惠等商业性信息。若用户不愿意接收此类消息,则可通过告知(书面)的方式通知医院或其关联公司取消发送,亦可通过医院所提供的相应退订功能(若有)进行退订。
-邮箱∶W-Feedback@outlook.com 更新日期2022年2月15日生效日期2022年2月15日